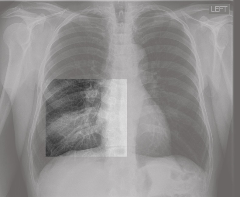
Polmonite
Malattia che si caratterizza per l'infiammazione del tessuto polmonare, ovvero degli spazi interalveolari (interstizio) e dei bronchioli. Può avere diverse cause, la principale è quella infettiva.
- Foglietto embrionale: Endoderma ed Ectoderma. Fase Pcl.
- Senso biologico: In fase attiva di conflitto avviene l'ulcerazione della mucosa bronchiale per far passare meglio l'aria o l'iperproduzione di muco da parte delle cellule endodermiche degli alveoli per acchiappare meglio il boccone aereo. Nella fase di riparazione avviene la ricostruzione con la partecipazione dei microorganismi.
- Conflitto: Conflitto di minaccia territoriale, paura dell'invasione o dell'asportazione di territorio.
Conflitto di paura della morte per asfissia (sensazione di mancato ingresso dell'aria).
Può esserci la compartecipazione di una profonda emozione di tristezza.

Polmonite atipica
Polmonite prodotta da una infezione da Coronavirus che produce febbre alta. Può associarsi piastrinopenia e leucopenia.- Foglietto embrionale: Ectoderma. Fase Pcl
- Senso biologico: In fase attiva di conflitto avviene l'ulcerazione della mucosa bronchiale per far passare meglio l'aria. Nella fase di riparazione avviene la ricostruzione con la partecipazione dei virus.
- Conflitto: Conflitto di minaccia e invasione del territorio, con mancanza di protezione e attacco all'integrità del clan. Percezione di invasione del territorio a causa di un veleno.
Forse può interessarti anche...
Iscriviti al Bollettino Novità - Invia il tuo indirizzo E-mail a giorgiobeltrammi@gmail.com


