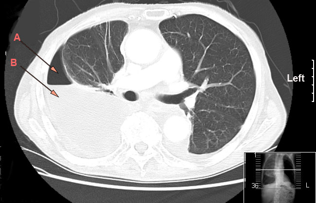
Empiema
Accumulo di pus all'interno di una cavità, anche se il termine è più spesso applicato al versamento purulento all'interno del cavo pleurico (Empiema pleurico). La condizione può essere certamente paragonata ad un ascesso ed i sintomi che lo contraddistinguono sono dolore, febbre, difficoltà respiratoria.
L'evenienza è di una gravità spesso elevata ed il trattamento consiste nel drenaggio del versamento nel più breve tempo possibile.
L'empiema pleurico si rinviene spesso nelle polmoniti, nelle tubercolosi polmonari e nelle ferite penetranti del torace.
Secondo le 5LB, l'empiema pleurico è la fase finale di guarigione del Mesotelioma pleurico, quando l'azione dei batteri ha portato alla completa demolizione del tessuto supplementare, ormai biologicamente inutile.

A. Aria; B. Versamento liquido


